سعال استمر 16 عاماً.. مفاجأة صادمة داخل الرئة

أثار سعال مزمن لم يتوقف لسنوات طويلة حيرة الأطباء في أحد مستشفيات الولايات المتحدة الأمريكية، قبل أن يقودهم إلى اكتشاف غير متوقع داخل رئة أحد المرضى. فبعد سلسلة طويلة من الالتهابات المتكررة في الجهاز التنفسي، اكتشف الأطباء أن السبب لم يكن مرضا تقليديا، بل جسما غريبا بقي عالقا داخل الرئة لعقود.

بدأت القصة مع رجل عانى التهابات تنفسية متكررة وسعالا مستمرا استمر نحو 16 عاما. وعلى الرغم من خضوعه لعلاجات متعددة وإجراءات طبية لتصريف السوائل من رئتيه، لم تتحسن حالته بشكل ملحوظ، ما دفع الأطباء إلى إجراء فحوصات أكثر دقة.

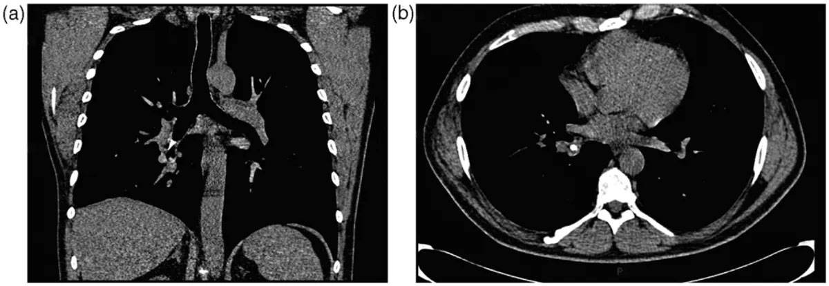
وأظهرت صور التصوير المقطعي المحوسب وجود كتلة غير واضحة في الجزء السفلي الأيمن من الرئة. في البداية، لم يكن الأطباء متأكدين مما إذا كانت كتلة مرضية أو تراكما متكلسا للإفرازات، لكن شكلها بدا غريبا على نحو لافت. فقد لاحظ الفريق الطبي أنها تبدو كجسم صلب يشبه إلى حد كبير "مخروطًا مروريا صغيرا للعب الأطفال".

عند سؤال المريض عن احتمال ابتلاع جسم غريب في الماضي، تذكّر حادثة بعيدة تعود إلى طفولته. فقد قال إنه ابتلع بالفعل مخروطا مروريا لعبة عندما كان في السادسة من عمره، أي قبل أكثر من أربعين عاما.

أكدت الفحوص باستخدام منظار القصبات المرن وجود الجسم الغريب داخل الرئة، لكن موقعه العميق جعل من الصعب سحبه بالمنظار. لذلك قرر الأطباء إجراء عملية جراحية لاستئصال الفص السفلي الأيمن من الرئة لإزالة الجزء المتضرر بالكامل، وفقا لموقع "iflscience.".

وكشفت الجراحة أن الجسم الصغير تسبب خلال سنوات وجوده الطويلة في التهابات شديدة والتصاقات بين أنسجة الرئة، إضافة إلى تجمعات من الصديد. ومع ذلك نجح الأطباء في استخراج المخروط من المكان نفسه الذي ظهر في الصور الطبية.

وبعد إزالة الجسم الغريب وإغلاق الرئة جراحيًا، تعافى المريض دون مضاعفات تذكر. والأكثر غرابة في القصة أن الرجل تمكن أخيرًا من استعادة لعبة طفولته الصغيرة… بعد رحلة غير متوقعة استمرت أربعة عقود داخل رئته.