يرغب الجميع في أن تكون أسنانهم لؤلؤية وبيضاء، لكن الأسنان دائماً ما تكون توثيقاً دقيقاً لما تعرض له الإنسان من أمراض منذ ولادته، وطوال حياته، وهي بمثابة جهاز إنذار مبكر لأمراض قد تصيب الإنسان.
قال آلن تشانج، أخصائي تكنولوجيا الأسنان: "يمكن لأسنانك أن تكشف عن علامات تحذير مبكرة إذا كنت تعرف ما الذي تبحث عنه، فالأدوات البسيطة مثل كاميرات الأسنان داخل الفم تجعل من السهل اكتشاف التغيرات اللونية قبل أن تتطور إلى مشاكل خطيرة، ويجب فحص الأسنانك بانتظام لأنه ينقذ من مشاكل صحية أكبر في وقت لاحق" وفق "ديلي ميل".
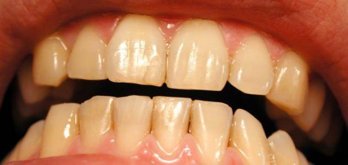
ورغم أن البقع الصفراء تنتج عادة عن شرب كميات كبيرة من الشاي أو القهوة، لكنها ترتبط بأمراض أخرى قد تتعلق بالكبد، فعندما لا يعمل الكبد بشكل صحيح، يمكن أن يؤدي ذلك إلى تراكم مستويات البيليروبين - الصبغة الصفراء في الصفراء - في الجسم، كما يمكن أن يشير اللون الرمادي الباهت إلى أن السن "مات" نتيجة لصدمة سابقة، ويرتبط أيضاً بحالات كمرض الاضطرابات الهضمية، والذي يمكن أن يعطل تكوين مينا الأسنان ويسبب تغير اللون على حد قوله.
وأضاف تشانج أن البقع البنية على أسنانك -بالإضافة إلى كونها غير جذابة للمنظر- يمكن أن تكون أيضاً علامات تحذير مبكرة لتسوس الأسنان، كما يمكن أن تكون الخطوط البنية ناجمة عن التسمم بالفلورايد الشديد - وهي حالة تحدث بسبب الإفراط في تناول الفلورايد أثناء نمو الأسنان.
ومن الأسباب الرئيسية لتسمم الأسنان بالفلورايد الاستخدام غير السليم لمنتجات الأسنان المحتوية على الفلورايد، مثل معجون الأسنان وغسول الفم، فأحياناً يستمتع الأطفال بطعم معجون الأسنان المفلور لدرجة أنهم يبتلعونه، ومن بين المشكلات الأخرى التي يمكن إرجاعها إلى مرحلة الطفولة ظهور خطوط زرقاء أو رمادية على الأسنان، والتي يمكن أن تُعزى إلى المضادات الحيوية التي تناولها الطفل في سن مبكرة، حيث تتغلغل الأدوية عميقاً في الأسنان النامية.
ويشير تشانج إلى أن "اللون الأسود الداكن قد يشير إلى تسوس متقدم أو أنسجة لب ميتة وفي حالات نادرة، يرتبط الأمر بالتعرض للمعادن الثقيلة".
أما مينا الأسنان المتبقع - والذي يبدو وكأنه تغير لون غير متساوٍ وغير منتظم - فيشير إلى اضطرابات وراثية مثل خلل تكوين المينا.
الأصفر: قد يشير إلى أمراض الكبد
الرمادي: الأسنان الميتة، أو مرض الاضطرابات الهضمية
البقع البنية : علامات مبكرة للتسوس
الأشرطة الرمادية : المضادات الحيوية التي تم تناولها في مرحلة الطفولة
مينا الأسنان المتبقع : يمكن أن يشير إلى اضطرابات وراثية مثل خلل تكوين المينا
اللون الأسود: تسوس متقدم
